Diş Eti Kanaması Neden Olur, Ne Zaman Tehlikelidir?

Diş Eti Kanaması Neden Olur, Ne Zaman Tehlikelidir?

Diş fırçalarken ya da diş ipi kullanırken diş etlerinden kan gelmesi, birçok kişinin yaşadığı yaygın bir durumdur. Diş eti kanaması genellikle diş eti hastalıklarının ilk belirtisidir ve altta yatan en büyük nedeni yetersiz ağız hijyenidir.

Sağlıklı ve sağlıksız diş eti arasındaki farklar nelerdir?

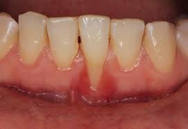
Diş etleri, ağız sağlığının göstergelerinden birisidir. Sağlıklı diş eti pembe renkte, dokunulduğunda sert ve kanama durumunun gözlenmediği yapıya sahiptir. Ancak ağız hijyenine dikkat etmeyen bireylerde plak birikimi sonucunda  diş eti iltihaplanır ve bu durumda da diş etlerinin rengi koyulaşma, şişlik, dokunulduğu zaman ağrı ve kanama gözlemlenir. Ayrıca sağlıksız diş etine sahip bireylerde istenmeyen ağız kokuları da meydana gelmektedir.

Diş eti kanamasının nedenleri nelerdir?

Diş eti kanamaları, yaygın sebep olarak kötü ağız hijyeni olsa bile tek sebep bu değildir. Bu durumla birlikte şu nedenlerden dolayı da diş eti kanaması görülebilir:

Yanlış diş fırçası kullanımı ve yanlış diş fırçalamak: Sert diş fırçası kullanımı ve dişleri sert bir şekilde fırçalamak diş etinde travmaya neden olacaktır ve bu durumda hassaslaşan diş etinde kanama görülebilir. Bu durumu engellemek için kullanılan diş fırçası orta sertlikte olmalı ve diş fırçalama diş etinden dişlere doğru süpürme hareketiyle birlikte nazik bir şekilde yapılması gerekmektedir.

Vitamin eksikliği: C vitamini eksikliğinde skorbüt adı verilen diş eti hastalığı meydana gelebilir. Dengeli beslenmeye dikkat edilmesi gerekmektedir.

Hormonal değişiklikler: Ergenlik döneminde, hamile kadınlarda ve menopoz dönemlerinde hormonal dalgalanmalara bağlı olarak diş etinde hassasiyet, büyüme meydana gelebilir. Bu durumda da yine kanama görülebilir.

Sistemik hastalıklar: Diyabet(şeker hastalığı),hipertansiyon, kalp-damar hastalıkları diş eti sağlığını olumsuz etkileyebilir. Özellikle diyabet diş eti üzerinde yıkıcı etkilere neden olmaktadır. Kontrol altına alınamayan durumlarda diş eti kanaması diş kaybına kadar gitmektedir.

Ne zaman ciddi bir sorun haline gelir?

Diş eti kanaması bireyler tarafından diş fırçalama sırasında fark edilir. Eğer bu durum her seferinde gözleniyorsa diş etinde ciddi bir durum olabilir ondan dolayı hekime başvurmak gerekmektedir.

Diş etlerinde sağlıksız görünüm söz konusuysa yani kızarıklık şişlik kırmızı-mor renk ve hassasiyet varsa bunun yanı sıra ağızda kötü tat ve koku bulunuyorsa hekime başvurmak gerekmektedir.

Diş eti iltihabının ileri döneminde diş etinde yıkımla birlikte dişlerde sallanma, zamanla diş eti çekilmesi meydana gelmektedir. Diş eti çekilmesiyle birlikte de diş kökleri açığa çıkmakta ve dişlerde sıcak soğuk hassasiyeti, diş etlerinde ağrı ve hassasiyet  ve zamanla da diş eti dokunun kaybı sonucu  dişte sallanma meydana gelebilir. Eğer diş eti tedavisi yapılmaz ve durum devam ederse çene kemiğinde de kalıcı hasarla birlikte sallanan dişin kaybı söz konusu olacaktır.

Ayrıca diş eti hastalıklarıyla sistemik hastalıkların belirtileri de olabilir .

Diş eti kanamasını önlemek için neler yapılmalı?

Kötü tabloyu yaşamamak için bireyler ağız hijyenine dikkat etmesi gerekmektedir. Gün içinde sabah akşam olmak üzere 2 kere fırçalanmalı, diş ipi ve antiseptik diş gargarası kullanılması gerekmektedir. Ayrıca diş eti hassasiyeti olan bireyler diş macunu seçiminde diş eti problemlerine yönelik diş macunu tercih edebilir.6 ayda bir diş hekimi kontrolüne gidilmeli ve dengeli beslenmeye dikkat edilmesi gerekmektedir.

Diş eti kanaması genelde basit bir ihmalin göstergesidir ama bazı durumlarda daha büyük sorunların habercisi olabilir. Bu sebeple uzun süreli kanama durumu ve diş etinde şişlik, kızarıklık durumunda mutlaka diş hekiminize başvurmanız gerekmektedir. Erken dönemde alınan önlemler hem dişlerin hem de diş etlerinin uzun yıllar sağlıklı kalmasını sağlar. 

Sıla Tepe

İstanbul Beykent Üniversitesi Diş Hekimliği Bölümü

4. Sınıf Temsilcisi

Bu Yazıyı Paylaş
Yorum Yap