
Kedilerde Hipertrofik Kardiyomiyopati (HCM)
Hipertrofik Kardiyomiyopati (HCM), kedilerde en yaygın görülen kalp hastalıklarından biridir. Bu hastalık, sol ventrikül duvarının anormal kalınlaşması (hipertrofi) ile karakterizedir ve kalbin kan pompalama yeteneğini olumsuz etkileyebilir. İnsanlarda da görülen bu hastalık, kedilerde genetik yatkınlık ile ilişkilidir ve özellikle Maine Coon ve Ragdoll ırklarında daha sık rastlanır.
- Etiyolojisi
HCM’nin kesin nedeni tam olarak bilinmese de genetik faktörlerin büyük rol oynadığı düşünülmektedir.
- Risk faktörleri şunlardır:
- Genetik yatkınlık (Maine Coon ve Ragdoll kedilerinde MYBPC3 mutasyonu)
- Yaş (Ortalama tanı yaşı 6 yıl, ancak genç kedilerde de görülebilir)
- Erkek kedilerde daha yaygın
- Obezite ve hipertansiyonun olası etkileri
- Belirtiler ve Klinik Bulgular
HCM’nin en büyük tehlikesi, birçok kedinin uzun süre hiçbir belirti göstermeden hastalığı taşıyor olmasıdır. Ancak hastalık ilerledikçe aşağıdaki belirtiler görülebilir:
✔ Solunum Problemleri: Kediniz hızlı nefes alıyor, nefes darlığı çekiyor veya açık ağızla nefes alıyorsa dikkat edilmelidir.
✔ Letarji ve Egzersiz İntoleransı: Eskisi gibi hareketli olmayan ve çabuk yorulan kedilerde HCM şüphesi olabilir.
✔ Ani Felç (Aortik Tromboembolizm- ATE): Kan pıhtısının bacaklara gitmesini engellemesi sonucu arka bacaklarda ani felç, ağrı ve soğukluk hissi gelişebilir.
✔ Ani Ölüm: HCM, bazı kedilerde hiçbir belirti göstermeden ani kalp durmasına neden olabilir.
- Tanı Yöntemleri
HCM şüphesi olan kedilerde, veteriner hekimin yapacağı ayrıntılı muayene ve testler ile kesin tanı konulabilir.
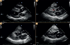
🔹 Ekokardiyografi (Ultrason) – Altın standart tanı yöntemidir.
🔹 Elektrokardiyografi (EKG) – Aritmilerin tespitinde kullanılır.

🔹 Toraks Radyografisi (Göğüs Röntgeni) – Kalp büyümesini ve akciğer ödemini değerlendirmek için gereklidir.
🔹 Kan Testleri – NT-proBNP ve Troponin I seviyeleri kalp hasarını gösterebilir.
🔹 Genetik Testler – Maine Coon ve Ragdoll kedileri için önerilir.
- HCM Tedavisi
HCM kesin olarak tedavi edilemez, ancak belirtileri yönetmek ve yaşam kalitesini artırmak için çeşitli tedavi yöntemleri uygulanır.
1)Asemptomatik Kedilerde Tedavi
- Hafif vakalar için takip yeterlidir.
- Sol atriyum genişlemişse β-blokerler (Atenolol) veya kalsiyum kanal blokerleri (Diltiazem) düşünülebilir.
2)LVOT Obstrüksiyonu Olan Kedilerde Tedavi
- Kalp hızını düşürmek için Atenolol gibi β-blokerler kullanılır.
- Diyastolik fonksiyonu iyileştirmek için Diltiazem tercih edilebilir.
- Pimobendan kontrendikedir, çünkü LVOT obstrüksiyonunu kötüleştirebilir.
3)Konjestif Kalp Yetmezliği (CHF) Gelişen Kedilerde Tedavi
- Furosemid (Diüretik) – Pulmoner ödemi azaltır.
- ACE inhibitörleri (Benazepril, Enalapril) – RAAS aktivasyonunu baskılar.
- Spironolakton – Sıvı tutulumunu azaltabilir.
- Torakosentez – Plevral efüzyon varsa sıvı boşaltılması gerekir.
4)Aortik Tromboembolizm (ATE) Riski Olan Kedilerde Tedavi
- Klopidogrel (Kan sulandırıcı) – En etkili antikoagülan.
- Aspirin – Alternatif olarak düşük dozda kullanılabilir.
- Ağrı yönetimi için opioidler (Buprenorfin, Fentanil) uygulanabilir.
- Prognoz
HCM’nin ilerleyişi her kedide farklı olabilir. Genel olarak:
🟢 Hafif vakalar uzun yıllar stabil kalabilir.
🟡 Orta dereceli hastalık ilerleyebilir, ancak ilaç tedavisi ile kontrol altına alınabilir.
🔴 İleri evre HCM (CHF veya ATE gelişmişse) yaşam süresi 6-24 ay arasında değişebilir.
- Öneriler
✔ Risk taşıyan ırklar için genetik test yaptırın.
✔ Rutin veteriner kontrollerini ihmal etmeyin.
✔ Kedinizin kilosunu kontrol altında tutun, obeziteyi önleyin.
✔ Kalp sağlığını destekleyen besinler içeren diyetler uygulayın.
✔ Eğer kedinizde solunum sıkıntısı, halsizlik veya bacak felci fark ederseniz vakit kaybetmeden veteriner hekime başvurun.
- Sonuç
HCM, kedilerde yaygın bir kalp hastalığı olup uzun süre belirti vermeden ilerleyebilir. Erken teşhis ve düzenli veteriner kontrolleri, hastalığın yönetilmesi açısından büyük önem taşır. Eğer kedinizin HCM riski taşıdığını düşünüyorsanız, düzenli ekokardiyografi kontrolleri ve uygun tedavi ile onun sağlıklı ve konforlu bir yaşam sürmesini sağlayabilirsiniz.
KAYNAKÇA:
* Textbook of Cardiovascular Medicine in Dogs and Cats
* Ettinger’s Textbook of Veterinary Internal Medicine, 9th Edition

Gürkan Şen
Selçuk Üniversitesi Veteriner Hekimlik Bölümü
5. Sınıf Temsilcisi






