
Diş Renklenmeleri Neden Olur? Nasıl Giderilir?
Diş renklenmeleri nedir?
Hastaların genelde estetik problemlerden dolayı geldikleri sorunlardan biri olan diş renklenmeleri, hem daimi hem süt dişlerini etkileyen, mine, dentin ve/veya sement tabakalarının etkilenmesiyle oluşan ve özellikle anterior bölgede ciddi estetik sorunlara yol açan bir problemdir.
Diş renklenmeleri neden olur?
Dişte renklenmenin çeşitli sebepleri vardır: Ağız hijyen yetersizliği, yaşlanma, çürükler, genetik ve çevresel faktörler vb.
Bu sebeplerden en yaygın sebeplerden biri olan beslenmedir. Renkli içeceklerin tüketimi dişlerde renklenme, leke oluşumuna sebep olabilir. Gıdalardan asitli olanlarıysa dişin dış tabakası olan mineyi aşındırarak renklenmeye zemin hazırlar.
Farklı nedenden oluşan renklenmelerin renkleri ve tedavi yöntemleri de renklenmenin oluşma sebeplerine bağlı olarak farklılık gösterebilir.
Dişlerde görülen renklenmeler nelerdir?
Dişlerde görülen renklenmeler, içsel ve dışsal renklenmeler olmak üzere ikiye ayrılır:
İçsel renklenmelerin meydana gelmesinde genellikle sistemik hastalıklar, pulpal sorunlar ve kromojenlerin diş içinde birikmesi neden olmaktadır ve içsel renklenmeler kendi içinde sistemik faktörlerin sebep olduğu renklenmeler ve lokal faktörlere bağlı renklenmeler olmak üzere ikiye ayrılır.
Sistemik faktörlerin sebep olduğu renklenmeler şunlardır: Okronozis, amelogenezis imperfekta, dentinogenesis imperfekta, fenilketonüri, konjenital hiperbilurubinemi, konjenital eritropoetik porfiria, dentinal displazi, tetrasiklin renklenmesi ve florozis.
Lokal faktörlere bağlı oluşan renklenmelerin nedenleriyse şunlardır: Travma, pulpa nekrozu ve kalsifik metamorfoz.
Dışsal renklenmelerin oluşmasındaki en önemli sebeplerden biri kötü ağız hijyendir ve dışsal renklenmeler de kendi içinde direkt ve indirekt olmak üzere ikiye ayrılır.
Direkt diş renklenmesi renklerini bırakan gıdaların pelikıl içine nüfuz ederek diş yüzeyine bağlanması sonucu oluşur. Bu gıdalara örnek olarak sigara, çay, kahve ve baharatlar verilebilir.
İndirekt diş renklenmesiyse katyonik antiseptikler, metal tuzları veya farklı bir renklenmenin başka bir kimyasal ile etkileşmesiyle meydana gelir. Demir içeren işlerde çalışan işçilerde mesleki maruziyet sebebiyle ve demir takviyesi kullanan kişilerin dişlerinde siyah renklenmeler meydana gelir. Potasyum permanganat içeren ağız gargaraları mor-siyah, bakır iyonu bulunan ağız gargaraları yeşil renklenmelere sebep olur. Klorheksidin, heksetidin içeren ağız gargaralarında ise uzun kullanımlar sonucunda ön dişlerde kahverengi-siyah renklenmeler oluşabilir.
Dişlerde oluşan renk değişikliği, mine yüzeyinde çatlak veya bozulmalarda meydana gelen renk değişikliğiyle dışsal renkleşme olarak başlayarak yayılım gösterip içsel renkleşmeye neden olabilmektedir ve bu olaya “renklenmenin içselleşmesiˮ adı verilmektedir.

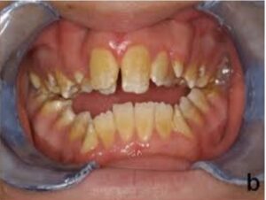
Şekil 1 Amelogenezis imperfekta

Şekil 2 Dentinogenezis imperfekta

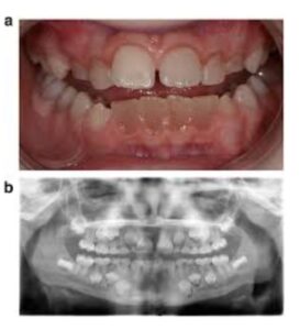
Şekil 3 Kalsifik metamorfoz
Diş renklenmeleri nasıl giderilir?
Genellikle tedavi için fluorid içeren patlarla derinlemesine ve detaylı bir temizleme yapılır. Bu işleme politür denir. Bu işlem sayesinde renklenme giderilebilir. Çünkü bu yöntemde hem içsel hem dışsal renklenmeleri gideren güçlü beyazlatıcı maddeler kullanılır. Ancak bazı vakalarda ultrasonik temizleme cihazlarına başvurmak da tedavi için gerekebilir.
Renklenmeler minimal invaziv ve protetik yöntemlerle de tedavi edilebilir.
Diğer yöntemler ise beyazlatıcı macunlar, jeller, karbonat kullanmak, Hindistan cevizi yağıyla ağzı çalkalamak gibi yöntemlerdir.

Kaynakça
https://onlinelibrary.wiley.com/doi/abs/10.1034/j.1601-0825.2003.00843.x
https://www.frontiersin.org/journals/physiology/articles/10.3389/fphys.2017.00435/full

İlayda Demirci
Uşak Üniversitesi Diş Hekimliği Bölümü
3. Sınıf Temsilcisi







